호흡이 점점 힘들어지고, 활동량이 줄어들면서 삶의 질이 낮아지는 것,,, 이러한 증상은 바로 폐기종이라는 만성 폐질환의 신호일 수 있습니다.
폐기종은 폐의 구조와 기능이 손상되어 발생하는 질환으로, 공기가 폐 밖으로 배출되기 어려워져 호흡 곤란, 운동 능력 저하 등의 증상이 나타납니다. 특히 흡연이 주된 원인이기 때문에, 흡연자들에게 더욱 주의가 필요한 질환이라고 할 수 있습니다.
이번 포스팅에서는 폐기종의 정의와 원인, 증상 및 진단 방법, 치료법과 예방법 등 폐기종에 대한 모든 것을 자세히 살펴보도록 하겠습니다.
폐기종에 대한 이해를 높이고, 효과적인 관리 방법을 알아봄으로써 호흡기 건강을 지키는 데 도움이 되시길 바랍니다.

1. 폐기종이란?
폐기종이란 여러 원인에 의해서 기관지나 폐에 염증이 생기고, 이로 인하여 숨을 쉴 때 폐조직이 늘어나는 것을 조절하는 섬유가 파괴되면서 폐포가 제 기능을 하지 못하는 질환을 말합니다.
이로 인해 만성적인 기침이나 가래, 호흡 곤란 등의 증상이 나타나게 되며 폐활량이 감소하는 증상도 보입니다.

2. 폐기종의 원인분석
1) 흡연
폐기종의 가장 큰 원인은 장기간의 흡연입니다.
담배 연기 속 유해 물질이 폐 조직을 손상시켜 폐기종을 유발하게 되며 이로 인하여 흡연자는 비흡연자에 비해 폐기종 발병 위험이 훨씬 높습니다.
2) 유전적 요인
알파-1 항트립신 결핍증이라는 유전 질환은 폐기종 발병 위험을 높이게 되며 이 질환은 폐 조직을 보호하는 단백질 생산에 문제가 생기면서 폐기종이 발생합니다.
3) 직업적 노출
광부, 건설 노동자 등 직업상 유해 물질에 지속적으로 노출되는 경우 폐기종 위험이 높습니다.
석면, 광물성 먼지, 화학물질 등이 폐 조직을 손상시키기 때문입니다.
4) 대기오염
대기오염 물질에 장기간 노출되면 폐기종 발병 위험이 증가합니다.
미세먼지, 오존, 이산화질소 등 대기 오염물질이 폐 기능을 악화시키는 것으로 알려져 있습니다.
이처럼 폐기종은 주로 흡연으로 인한 폐 손상이 가장 큰 원인이지만, 유전적 요인과 환경적 요인도 복합적으로 작용하여 발병하게 됩니다.

3. 폐기종의 증상분석
1) 호흡 곤란
폐기종 환자들은 호흡이 점점 더 힘들어지게 됩니다.
숨을 내쉬는 것이 특히 어려워지며, 일상적인 활동 시에도 호흡 곤란이 심해집니다.
2) 만성 기침
폐기종 환자들은 지속적인 기침을 경험합니다.
기침에는 가래가 동반되며, 때로는 피가 섞여 나오기도 합니다.
3) 천명음
폐기종으로 인해 폐의 탄력성이 감소하면 호흡 시 쌕쌕거리는 천명음이 발생할 수 있습니다.
천명음은 숨을 들이쉴 때나 내쉴 때 들리는 휘파람 소리와 유사합니다.
4) 피로감 및 운동 능력 저하
폐기종 환자들은 쉽게 피로해지고 운동 수행 능력이 감소하게 되며 일상적인 활동조차 힘들어지면서 삶의 질이 저하됩니다.
5) 부종
폐기종이 진행되면 심장 기능이 약화되어 다리나 복부에 부종이 발생할 수 있습니다.
이처럼 폐기종 환자들은 호흡 곤란, 만성 기침, 천명음 등의 주요 증상을 경험하게 되며 이로 인해 일상적인 활동이 어려워지고, 전반적인 건강 상태가 악화되는 것이 특징입니다.

4. 폐기종의 진단 및 검사
1) 병력 청취 및 신체 검진
의사는 환자의 증상, 흡연력, 직업력 등을 자세히 청취하게 되며 또한 호흡, 천명음 등을 청진하고 전반적인 신체 상태를 확인합니다.
2) 폐 기능 검사(스파이로메트리)
폐기종 진단의 가장 중요한 검사로써 강제 호기량(FEV1)과 노력 폐활량(FVC)을 측정하여 폐 기능 저하 정도를 확인하게 됩니다.
FEV1/FVC 비율이 낮은 경우 폐기종임을 시사합니다.
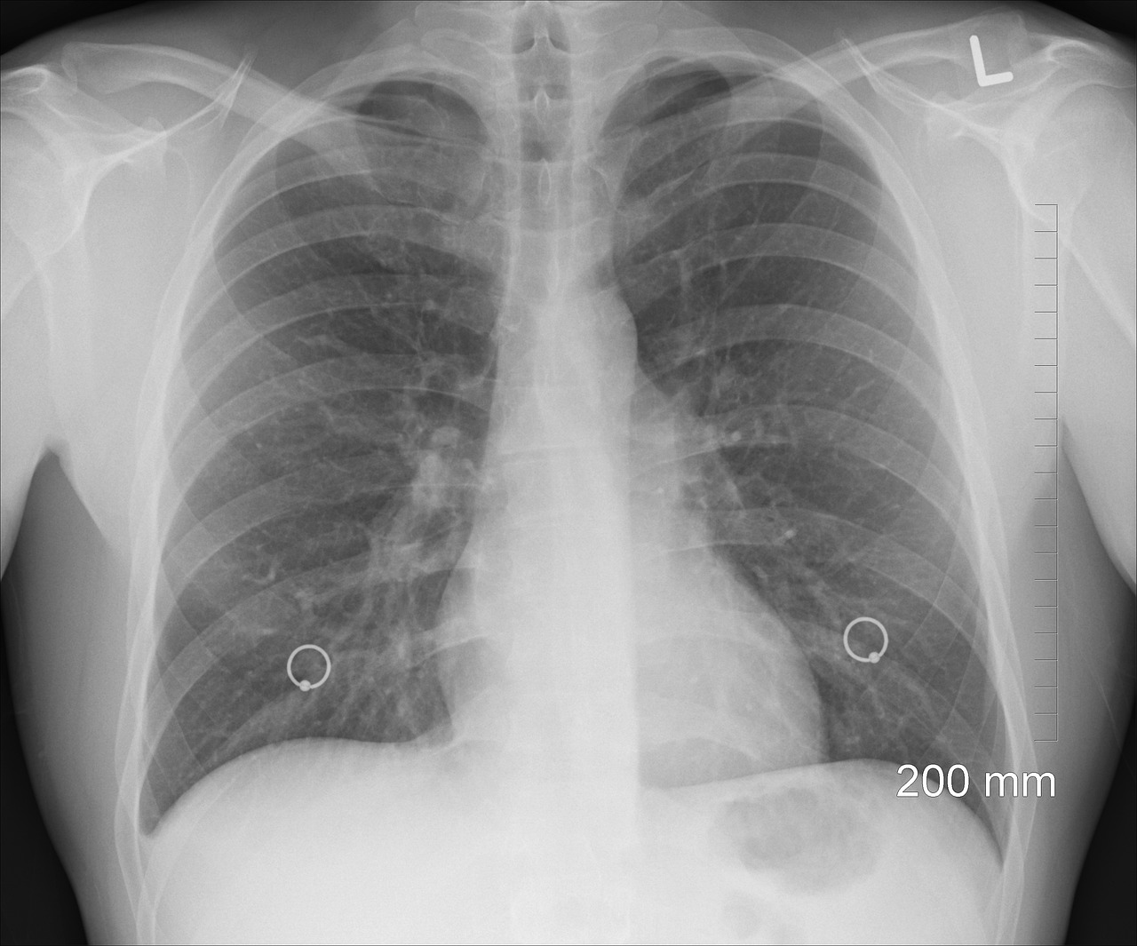
3) 영상 검사
단순 흉부 X-ray 검사로 폐부피의 증가, 횡경막 편평화 등의 소견을 확인할 수 있으며 CT 검사는 폐기종의 분포와 정도를 더 정확히 파악할 수 있습니다.
4) 알파-1 항트립신 검사
알파-1 항트립신 결핍증이 원인일 경우 이 검사로 확인할 수 있으며 혈액 검사로 알파-1 항트립신 수치를 측정합니다.
이와 같은 다양한 검사를 통해 폐기종의 유무와 진행 정도를 진단할 수 있으며 특히 폐기능 검사가 가장 중요한 진단 기준이 됩니다.

5. 폐기종의 치료법
1) 약물 치료
- 기관지 확장제 : 기관지를 확장시켜 호흡을 용이하게 합니다.
- 스테로이드 : 기도 염증을 줄여 증상을 완화시킵니다.
- 산소 요법 : 저산소증을 개선하고 호흡 곤란을 줄입니다.
2) 금연
폐기종의 가장 중요한 치료법은 금연입니다.
금연을 통해 폐기능의 악화를 지연시킬 수 있습니다.
3) 폐재활 프로그램
운동, 영양 관리, 교육 등으로 구성된 포괄적인 재활 프로그램을 뜻하며 호흡 기능 향상, 운동 능력 증진, 삶의 질 향상에 도움이 됩니다.
4) 산소 치료
저산소증이 심한 경우 지속적인 산소 공급이 필요할 수 있으며 가정용 산소 공급기를 통해 산소를 공급할 수 있습니다.
5) 수술 치료
중증 폐기종 환자의 경우 폐용적 축소술 등의 수술적 치료가 고려될 수 있습니다.
이와 같이 다양한 치료법이 사용되며, 환자의 상태에 따라 적절한 치료법을 선택하게 됩니다. 특히 금연과 폐재활 프로그램이 매우 중요한 역할을 합니다.

6. 운동이 치료에 도움이 되나요?
결론적으로 운동은 폐기종 환자의 치료에 매우 도움이 될 수 있습니다.
1) 호흡근 강화
규칙적인 운동은 호흡근의 힘을 키워 호흡 능력을 향상시키며 이를 통해 호흡 곤란 증상을 완화시킬 수 있습니다.
2) 심폐 기능 향상
운동은 심장과 혈관 기능을 개선하여 전반적인 심폐 기능을 향상시키며 이는 폐기종 환자의 운동 능력과 삶의 질 향상으로 이어집니다.
3) 근력 및 지구력 증진
운동은 전신 근력과 지구력을 키워 일상생활 수행 능력을 높입니다.
피로감 감소와 신체 활동 증진에 도움이 됩니다.
따라서 의사의 지도 아래 적절한 수준의 운동을 꾸준히 하는 것이 폐기종 환자의 치료에 매우 중요합니다.
걷기, 수영, 자전거 타기 등 개인의 상황에 맞는 운동을 선택하는 것이 좋습니다.

7. 폐기종에 효과좋은 음식
1) 항산화 식품
- 과일과 채소 : 비타민 C, E, 베타카로틴 등이 풍부하여 폐 기능 개선에 도움이 됩니다.
- 견과류 : 비타민 E, 셀레늄 등의 항산화 성분 함유하여 폐를 보호합니다.
2) 고단백질 식품
- 고기, 생선, 달걀, 콩류 : 근육 보호와 회복에 필요한 단백질을 공급합니다.
3) 섬유질 식품
- 통곡물, 야채, 과일 : 변비 예방과 장 건강에 도움이 됩니다.
4) 지방산 식품
- 등푸른 생선, 아마씨 : 항염증 효과가 있는 오메가-3 지방산 함유하고 있습니다.
5) 수분 섭취
- 충분한 수분 섭취 : 점액 배출을 돕고 호흡 기능 향상합니다.
6) 저지방, 저염식
- 심혈관 질환 예방과 부종 감소에 도움이 됩니다.
또한 소량 자주 먹는 것이 좋으며, 가벼운 운동 후 섭취하면 더욱 효과적입니다. 개인의 건강 상태와 선호도에 맞는 식단을 구성하는 것이 중요합니다.

8. 폐기종의 예방법
1) 금연
폐기종의 가장 중요한 위험 요인은 흡연입니다.
금연은 폐기종의 발생과 진행을 효과적으로 예방할 수 있습니다.
2) 간접 흡연 피하기
간접 흡연에도 노출되지 않도록 주의해야 합니다.
3) 대기오염 관리
대기오염물질에 장기간 노출되면 폐기종 발생 위험이 높습니다.
실내외 공기 질을 관리하고, 대기오염이 심한 날은 외출을 자제하는 것이 좋습니다.
4) 직업적 노출 예방
직업상 먼지, 화학물질, 독성 물질에 노출되는 경우 주의가 필요합니다.
5) 호흡기 감염 예방
폐렴, 독감 등의 호흡기 감염은 폐기종을 악화시킬 수 있으니 백신 접종, 손 씻기 등의 예방법을 실천해야 합니다.
6) 건강한 생활습관 유지
균형 잡힌 식단, 규칙적인 운동, 충분한 휴식 등이 도움이 됩니다.
이와 같은 예방법들을 실천하여 폐기종 발병과 진행을 막는 것이 중요합니다.

9. 마치며,,,
폐기종은 심각한 호흡기 질환으로, 적절한 관리와 예방이 매우 중요합니다. 이를 위해서는 금연, 대기오염 관리, 호흡기 감염 예방 등의 노력이 필요합니다. 또한 건강한 식단과 생활습관 유지도 도움이 됩니다.
폐기종은 완치가 어려운 질환이지만, 환자와 가족들의 적극적인 관리와 예방으로 질병의 진행을 늦출 수 있습니다.
국내 폐암 전문병원과 폐암분야 명의 확인해보세요!!
폐암은 전 세계적으로 암 관련 사망률이 가장 높은 질병 중 하나입니다. 우리나라에서도 폐암으로 인한 사망자 수가 매년 증가하고 있는 추세이며 특히 폐암은 초기에는 증상이 뚜렷하지 않아
grayscan.co.kr
체계적으로 알아보는 천식 증상과 치료법
오늘은 우리 주변에서 어렵지 않게 찾아볼 수 있는 천식에 대해 이야기해보려고 합니다. 숨 쉬는 것이 편해야 하는것은 당연한 일이지만, 천식이라는 질병은 숨 쉬기에 대한 큰 불편함과 함께
grayscan.co.kr
기흉 원인 및 치료법과 자가 진단법
쉽고 자연스런 호흡이 몸과 마음을 정화시키고, 건강한 삶으로 이끕니다. 기흉 원인 및 치료법과 자가 진단법 오늘은 우리 몸의 중요한 기능 중 하나인 폐에 관련된 기흉에 대하여 알아보려 합
grayscan.co.kr
'건강관련정보' 카테고리의 다른 글
| 파킨슨병 환자의 일상 생활 속 주의사항 알아보기 (14) | 2024.07.21 |
|---|---|
| 과호흡증후군의 자가진단 및 과호흡 증상 발생 시 대처법 (21) | 2024.07.20 |
| 방광염 환자가 특히 주의해야 할 음식 7가지! (16) | 2024.07.20 |
| 강직성 척추염과 증상이 비슷한 질환들과의 차이점. (23) | 2024.07.18 |
| 가장 효과적인 장티푸스 예방법 소개!! (21) | 2024.07.18 |