오늘은 우리 주변에서 잊혀져가는 것 같지만 여전히 심각한 문제로 남아있는 질환인 "결핵"에 대해 이야기하려고 합니다.
지금까지 많은 질병이 극복되고 예방되고 있지만, 여전히 결핵은 우리 사회에서 간과되기 쉬운 심각한 질병 중 하나입니다.
오늘은 아직까지도 위험한 질병으로 남아있는 결핵에 관하여 전반적으로 알아보겠습니다.




1. 결핵이란?
결핵은 기원전 7천년 경 석기 시대의 화석에서 그 흔적이 발견된 이래 인류 역사상 가장 많은 생명을 앗아간 감염 질환으로, 1882년 독일의 세균학자 로베르트 코흐(Robert Koch)가 결핵의 병원체인 결핵균(Mycobacterium tuberculosis)을 발견하여 같은 해 3월 학회에 발표함으로써 세상에 알려졌습니다.
결핵은 결핵균이 침입하여 호흡기 분비물로 옮겨지는 전염성 질환으로 결핵 환자의 비말핵에 의해서 감염되지만 감염된다고 하여 모두 결핵에 걸리는 것은 아니며 대개 접촉자의 30% 정도가 감염되고 감염된 사람의 10% 정도가 결핵 환자가 되며 나머지 90%의 감염자는 평생 건강하게 지냅니다.
비말감염
기침이나 재채기로 감염동물이 구강이나 비강에서 배출하는 포말이 다른 동물의 코, 입의 점막, 또는 결막에 직접 부착하는 것으로서 병원체가 감염하는 방식. 이 포말의 입자는 비교적 커서 지
terms.naver.com
결핵은 폐, 신장, 신경, 뼈 등 우리 몸속 거의 대부분의 조직이나 장기에서 병을 일으킬 수 있으며 그중에서도 결핵균이 폐 조직에 감염을 일으키는 폐결핵이 대부분을 차지합니다.







2. 결핵의 증상
결핵균은 매우 천천히 증식하면서 우리 몸의 영양분을 소모시키고, 조직과 장기를 파괴합니다.
결핵균
결핵균 (국문) Mycobacterium tuberculosis, MTB (영문) 인간의 결핵을 일으키는 세균이며, 세포표면에 강한 소수성을 지닌 밀랍과 같은 특성을 가진 미콜산(Mycolic acid)이 있는 Mycobacterium 속에 속한다. 결핵
terms.naver.com
그렇기 때문에 결핵을 앓고 있는 환자의 상당수는 기운이 없고 입맛이 없어지며 체중이 감소하는 증상이 나타나기도 하며 또한 무력감이나 쉽게 피로를 느끼고 기운이 없거나 식욕이 떨어지는 것도 일반적인 증상입니다.
폐결핵의 증상은 호흡기와 관련된 증상과 호흡기 이외의 전신 증상으로 구분하여 확인할 수 있습니다.
1) 호흡기 증상
기침이 가장 흔하며 객담(가래) 혹은 혈담(피 섞인 가래)이 동반되는 경우가 있습니다.
혈담은 객혈(피를 토하는 것)로 나타나기도 하는데, 초기보다는 대체로 병이 진행된 경우에 나타나며 또한 병이 진행되어 폐의 손상이 심해지면 호흡곤란이 나타나고 흉막이나 심막을 침범하였을 때는 흉통을 호소하기도 합니다.
가슴통증
가슴통증(흉통)이란 다양한 원인에 의해 가슴 부위에 나타나는 통증을 의미함. [정의] 흉통이란 다양한 원인에 의해 가슴 부위에 나타나는 통증을 말한다. 흉통, 흉부 불쾌감은 흔한 증상으로 전
terms.naver.com
2) 전신 증상
발열, 야간 발한, 쇠약감, 신경과민, 식욕부진, 소화불량, 집중력 소실 등과 같은 비특이적인 증상이 나타날 수 있으며 특히 식욕부진은 환자의 체중감소를 야기할 수 있습니다.
일반적으로 성인 폐결핵 환자의 흔한 초기 증상으로는 잦은 기침, 객혈, 발열, 전신적인 무력감과 미열, 체중감소를 꼽을 수 있습니다.
결핵은 침범된 장기에 따라 여러 가지 증상을 보입니다.
신장 결핵이면 혈뇨(hematuria)와 배뇨 곤란, 빈뇨 등 방광염의 증상이 나타나고, 척추 결핵이면 허리에 통증을 느끼고, 결핵성 뇌막염이면 두통과 구토 등의 증상이 나타날 수 있습니다.
결핵성 수막염
결핵균에 의해 뇌수막에 염증이 발생하는 질환. [정의] 결핵성 수막염은 결핵균이 거미막 밑 공간 및 뇌척수막을 침입하여 염증을 일으키는 질환이며, 일반적으로 이전에 증상 유무와 관계없이
terms.naver.com
결핵 중에서 가장 중증인 것은 결핵성 수막염과 급성 속립성(혹은 좁쌀) 결핵입니다.
결핵성 수막염은 주로 소아에게서 많이 발생하며, 두통, 구토, 발열, 의식 혼탁, 경련, 혼수상태 등의 증상이 나타납니다.
속립성 결핵은 다량의 결핵균이 혈액 속에 퍼졌을 때 일어나며, 증상은 패혈증과 비슷합니다.







3. 결핵의 진단
결핵은 2주 이상 지속되는 호흡기 증상 및 전신 증상이 있는 경우 결핵을 의심하고 진단적 검사를 시행하게 됩니다.
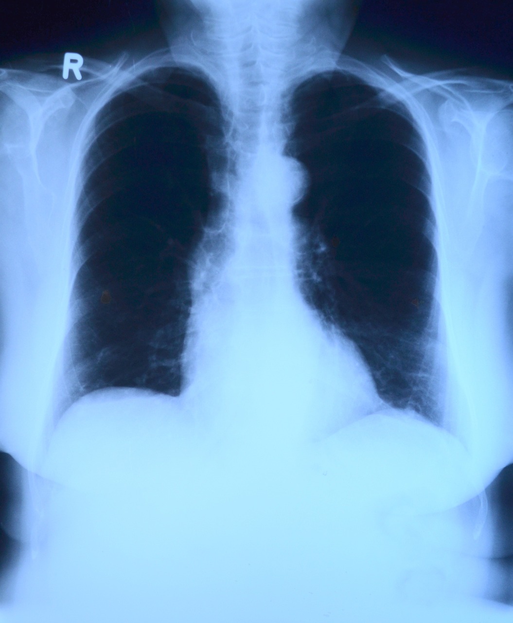
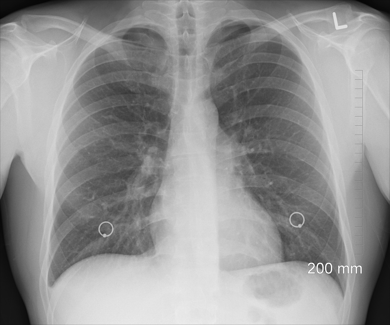
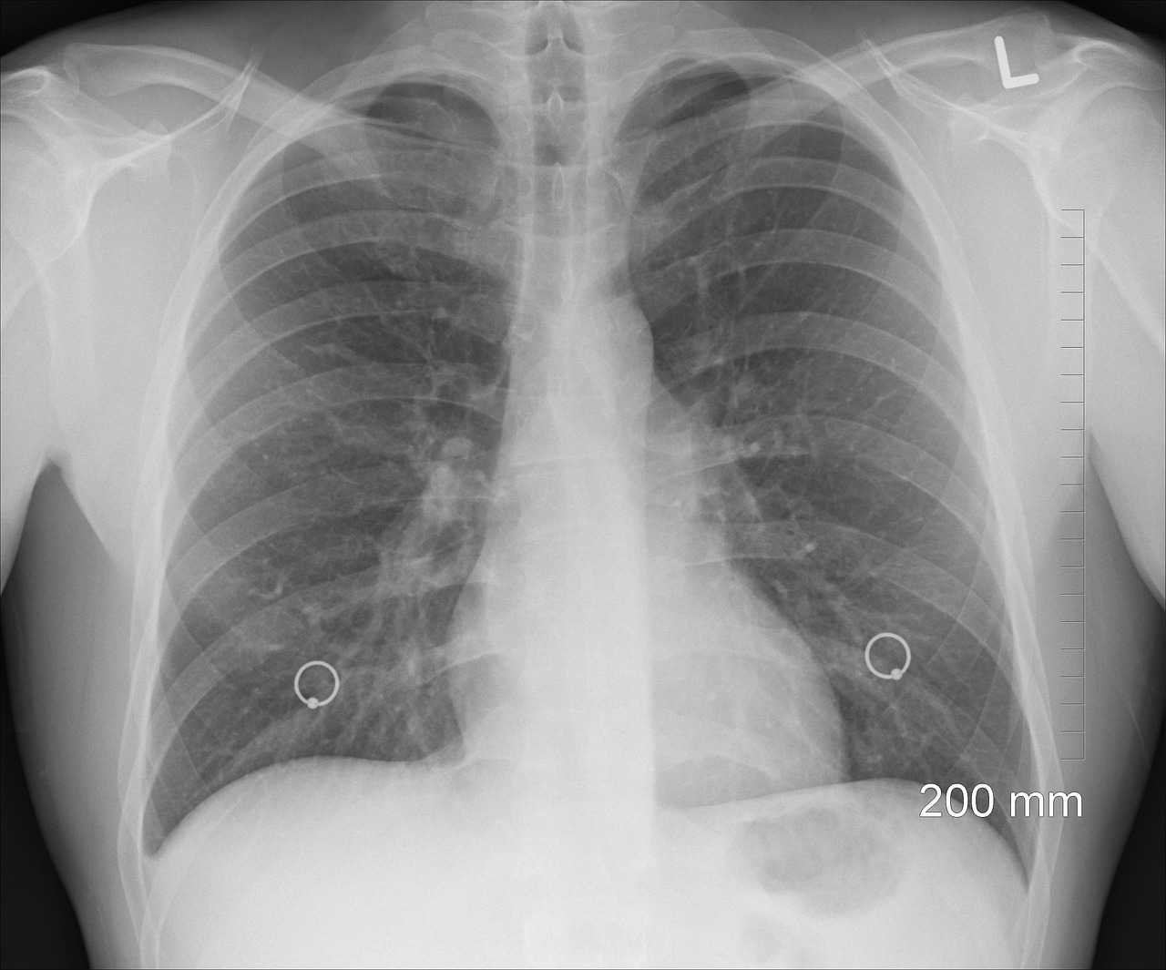
흉부 엑스선 검사, 객담 도말 검사, 객담 배양 검사 등을 통해 객담에서 결핵균을 검출하여 진단합니다.
1) 폐결핵 감염의 진단
① 투베르쿨린 피부반응 검사
결핵균의 감염 여부를 조사하기 위해서는 투베르쿨린 용액(RT-23 2TU)을 좌측 팔의 안쪽 피부 내에 주사 후 48-72시간에 주사 부위의 피부 결합조직이 단단해지는 경결 반응을 측정하여 반응 부위가 10㎜ 이상이면 양성으로 판정하게 됩니다.
우리나라에서는 비씨지(BCG)접종에 따른 위양성(실제로는 음성인데 결과로는 양성이 나오는 것) 문제로 인해 결핵균 감염의 해석에서 맹점을 가지고 있는 검사법리기도 합니다.
BCG
결핵을 예방하는 접종입니다. 하지만 흔히 생각하시는 것과는 달리 BCG 접종이 결핵을 예방하는 효과는 그리 크지 않습니다. 더 중요한 효과는 결핵에 걸리는 것을 다 막지는 못하더라도 심각한
terms.naver.com
② 인터페론감마 분비검사 (IGRA: interferon-gamma release assay)
최근 도입된 새로운 검사법으로 결핵균에 감작된 T-세포만을 자극하는 특이항원을 사용하여, 효소면역법(ELISA, enzyme-linked immunosorbant assay)으로 인터페론감마(interferon-gamma) 농도를 측정하여 결핵의 감염 여부를 판단하게 됩니다.
현재 국내에서 결핵균 감염 여부 조사를 위해 투베르쿨린 피부반응 검사와 함께 혹은 단독으로 널리 사용되고 있다.
2) 폐결핵 발병의 진단
① 흉부 X선 촬영
X선 검사방법으로는 실제 크기로 촬영하는 흉부 직접촬영과 70㎜, 100㎜ 크기의 축소된 사진으로 찍는 간접촬영이 있는데, 여러 사람을 집단으로 검사할 경우에는 간접촬영을 많이 이용합니다.
소견에 따라 초감염 결핵과 재활성화 결핵으로 나뉘며 흔히 전자는 소아 결핵, 후자는 성인 결핵으로 분류하기도 하며 인체면역결핍 바이러스(HIV) 감염자는 초감염 결핵 소견이 주로 나타나는 것으로 알려져 있습니다.
② 결핵균 검사
결핵을 진단할 수 있는 가장 확실한 방법으로 전통적으로 항산균 도말검사와 배양검사를 사용해 왔으며, 객담을 최소한 3번 이상 뱉어 시행해야 정확도를 높일 수 있습니다.
최근에는 핵산증폭검사(PCR)을 통해 객담 내 결핵균에 존재하는 DNA를 검출하여 결핵을 진단하는 방법이 사용되고 있습니다.
③ 흉부 전산화 단층촬영(CT)
임상적으로 의심은 되나 흉부 X선 검사만으로 결핵의 진단이 힘든 경우에 전산화 단층촬영(CT)이 이용됩니다.
CT는 오래된 섬유화 병변과 새로운 활동성 병변을 구분하는 데 도움을 주는데, 특히 소세기관지나 소세기관지 주위의 병변은 결핵이 시작됨을 특징적으로 보여줍니다
그 외에도 CT는 공동, 흉곽 내 림프절 병증, 좁쌀 결핵(결핵균이 피를 타고 전신으로 퍼져나가 여러 장기에 염증을 일으킨 상태로 마치 좁쌀처럼 미세한 병변이 전신에 나타나는 것), 기관지 확장증, 기관지 협착, 흉막 질환을 진단하는데 민감도가 높고 결핵종 내의 석회침착 여부 판정에 특히 유용합니다.
기관지협착증
기관지 안쪽이 좁아져서 공기의 출입이 좋지 않은 상태. 기관지 안쪽이 좁아진 상태를 기관지 협착이라고 한다. 결핵을 앓은 뒤 합병증으로 나타나는 경우가 많으며 이밖에 기관지 안에 생긴 염
terms.naver.com
기관지 확장증
기관지 벽이 손상되어 정상적인 범위를 벗어나 영구적으로 늘어나 있는 상태. [정의] 기관지 확장증이란 기관지가 본래의 상태로 돌아갈 수 없을 정도로 영구적으로 늘어나 있는 상태를 의미한
terms.naver.com
④ 기관지내시경 검사
임상적으로 기관지 결핵이 의심되거나 객담 검사에서 결핵균이 검출되지 않거나 혹은 악성 종양과의 감별 진단이 필요한 경우 기관지내시경 검사를 시행할 수 있습니다.
기관지 결핵(endobronchial tuberculosis)의 경우 기관지내시경의 소견을 보고 바로 의심할 수도 있으나, 역시 결핵의 확진은 기관지내시경을 시행하여 얻은 검체로 항산균 도말검사와 배양검사, 또는 핵산증폭검사를 통한 결핵균 DNA의 검출로 이루어지게 됩니다.
이 밖에 혈액의 백혈구를 자극하여 인터페론 감마를 측정하는 방법이 있으나 이는 결핵에 노출되었음을 의미할 뿐이며 활동성 결핵임을 알려주지는 않습니다.








4. 결핵의 치료
결핵의 치료 방법은 크게 약물 치료와 외과적 치료가 있습니다.
1) 약물 치료
약물 치료에는 항결핵제를 사용하게 됩니다.
항결핵제는 원칙적으로 개별 약제에 대한 내성이 생기는 것을 방지하기 위해 여러 가지 약제를 동시에 사용하는 병합화학요법을 채택하게 됩니다.
현재 결핵 치료에 사용하는 항결핵제는 9~10종 정도가 있습니다.
치료 효과가 좋고 부작용이 적어 우선적으로 사용하는 항결핵제를 ‘1차 약’이라고 하며, 그보다 효능은 떨어지면서 부작용은 더 심해서 꼭 필요한 경우에만 사용하는 항결핵제를 ‘2차 약’이라고 합니다.
2) 외과적 치료
과거에 비해 결핵 치료에 외과적 방법을 쓰는 경우는 급속히 감소하고 있으나, 아직도 외과적 치료가 필요한 환자가 많습니다.
두 개 이상의 약제로 5~6개월 이상 적절한 약물 치료를 시행하였음에도 객담 배양에서 결핵균이 나오는 경우나, 약물 치료에 내성이 강한 비전형적인 결핵균에 의한 폐 질환일 경우(MDR TB:multi-drug resistant tuberculosis), 또는 종양성 병변으로 나타나서 암과의 감별이 어려울 경우에는 수술을 고려하기도 합니다.
위의 치료 과정을 통하여 6개월에서 9개월간의 치료를 모두 마친 시점에서 객담 도말 검사를 시행하여 결핵균이 검출되지 않고, 9개월 이전에도 한 번 이상 객담 도말 검사를 시행하여 결핵균이 검출되지 않으면 완치 판정을 받고 결핵 치료를 종료하게 됩니다.








5. 결핵으로 인한 합병증
결핵은 일반적으로 항결핵제만 꾸준히 잘 복용하면 완치가 가능한 질환이지만, 완치의 여부와 무관하게 결핵에 의해 감염된 폐에는 다양한 형태로 그 후유증이 남게 됩니다.
이는 폐실 질에서부터 흉곽에 이르기까지 전체 흉부 어디에도 가능하며 석회화된 결핵종, 폐 실질 내 공동, 기관지 확장증, 라스무센(Rasmussen) 동맥류, 기관지 흉막루, 기흉 등이 있습니다.
뇌동맥류 증상 및 뇌동맥류 수술
뇌동맥류 증상 및 뇌동맥류 수술 오늘은 우리 몸에서 가장 중요한 부분인 뇌 질환중 하나인 뇌동맥류에 대하여 이야기를 나눠보려 합니다.뇌동맥류는 뇌의 혈관 중에서도 특히 중요한 부분 중
all-info0613.com
기흉 원인 및 치료법과 자가 진단법
쉽고 자연스런 호흡이 몸과 마음을 정화시키고, 건강한 삶으로 이끕니다. 기흉 원인 및 치료법과 자가 진단법 오늘은 우리 몸의 중요한 기능 중 하나인 폐에 관련된 기흉에 대하여 알아보려 합
grayscan.co.kr
드물지만 결핵을 앓은 흔적에서 폐암이 발생하는 경우도 있어 주의를 요하고, 특히 공동 내에 진균종이 생기는 경우 대량 객혈의 위험이 있어 경우에 따라서는 수술적 치료가 필요하기도 합니다.
네이버 국어사전
3개의 한국어 대사전 (표준국어대사전, 고려대한국어대사전, 우리말샘), 상세검색, 맞춤법, 보조사전
ko.dict.naver.com
6. 결핵의 예방법
결핵을 예방하려면 비씨지(BCG) 접종을 해야 합니다.
비씨지 (BCG) 는 우형 결핵균의 독성을 약하게 하여 만든 것으로 사람에게는 병을 일으키지 않으면서 결핵에 대한 면역을 갖게 하는 백신이며 결핵균에 감염되기 전 비씨지 접종을 하면 그렇지 않은 경우보다 발병률이 1/5로 줄어드는데, 이 효과는 10년 이상 지속되어 집니다.
특히 비씨지 (BCG) 는 폐결핵뿐 아니라 사망률이 높은 소아의 결핵성 뇌막염이나 속립성 결핵(좁쌀결핵) 예방효과가 높기 때문에 가능한 한 출생 후 1개월 이내에 비씨지를 접종하도록 하고 있습니다.
폐결핵
결핵균 감염에 의한 폐질환. [정의] 결핵은 결핵균이 침입하여 발생하는 병이다. 결핵은 호흡기 분비물로 옮겨지는 전염성 질환으로, 환자와 접촉하는 가족 중에서 발생하는 경우가 많다. 누구
terms.naver.com
7. 요약
결핵은 공기를 통해 전파되는 박테리아로 인한 전염성 질환으로 , 초기 증상은 기침, 가래, 체중 감소, 피로 등이 포함됩니다.
특히 면역력이 약한 사람들이나 감염 위험이 높은 지역에 사는 사람들은 더 큰 위험에 노출되어 있습니다.
백신을 맞는 것이 가장 효과적인 예방 수단 중 하나이며, 감염자와의 접촉을 피하고 개인 위생을 유지하는 것도 중요합니다.
결핵은 충분히 예방이 가능하며, 예방과 치료를 위해서는 개인 위생과 백신의 접종등 적절한 조치가 필요합니다.
'건강관련정보' 카테고리의 다른 글
| 턱관절장애(악관절 장애) 정리. (15) | 2024.01.26 |
|---|---|
| 기면증의 다양한 유형과 특징 분석 (46) | 2024.01.24 |
| 갑상선암의 증상 및 치료후 관리 (41) | 2024.01.22 |
| 하지정맥류 정리! (47) | 2024.01.21 |
| 요실금의 증상 및 치료법 정리 (40) | 2024.01.20 |